Dr. Subhra Dhar
MD (Pathology) (1996), S.C.B Medical College, Cuttack
M.B.B.S.(1991), S.C.B Medical College, Cuttack
Dr. Subhra Dhar is a renowned pathologist with National & International recognition, specialising in
Skin, Mucosa, Immunofluorescence Studies, Hair, Nail & Adnexal Neoplasms.
She has been a guest speaker at major Dermatopathology conferences worldwide.
With 17 years as Senior Consultant Pathologist and GM at Kolkata Reference Lab, SRL Ltd., she was part of
the elite CoE-SME group in Histopathology.
Currently, Dr. Dhar leads WizdermPathLab as Chief of Lab and Consultant Histopathologist.
Expertise isn’t just about skill—it’s a craft honed through years of dedication and
experience.
At WizdermPathLab, we believe that precision comes from perseverance, and there are
no shortcuts to excellence.
Dr. Subhra Dhar’s expertise spans multiple domains, with a Strong Focus on:
•Histopathology, Immunofluorescence studies, Immunohistochemistry, related to Inflammatory Dermatoses, Vesiculobullous disorders, Infectious Dermatoses & Neoplastic Lesions of Skin.
Dr. Dhar’s Primary Strength lies in Dermatopathology, covering:
•Skin, Mucosa, Nail & Hair pathology
•Adnexal Neoplasms and Soft Tissue Tumors
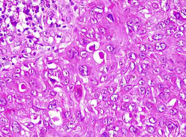
•Melanomas, Primary Tumours & Metastatic Tumours of Skin
•Oral, Ocular, and Head & Neck pathology
•Her expertise lies in solving complex inflammatory dermatological disorders with stress on Clinico-Pathological Correlation.
•Neoplastic tumours of skin, both primary and metastatic are diagnosed complete with their immunohistochemistry.
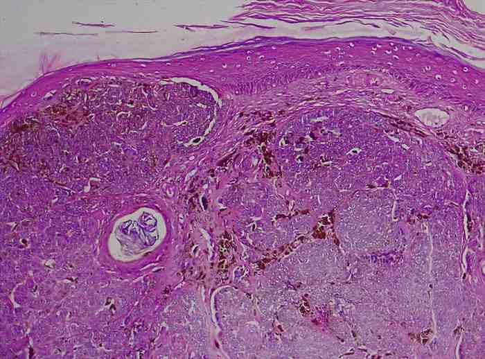
•Infectious Disorders of the Skin like Leprosy, Cutaneous Tuberculosis, Atypical Mycobacterial infection, Leishmaniasis, and Deep Fungal Infection are diagnosed complete with their histochemical stains.
•Holistic Approach to skin disorders, often leads to the diagnosis of underlying Systemic Medical Conditions like SLE, Crohn’s Disease, Vasculitis, etc.
Accuracy and speed go hand in hand.
Wizderm Pathology offers an exceptional turnaround time of just 4-5 days for
routine histopathology cases, ensuring timely and precise diagnoses.





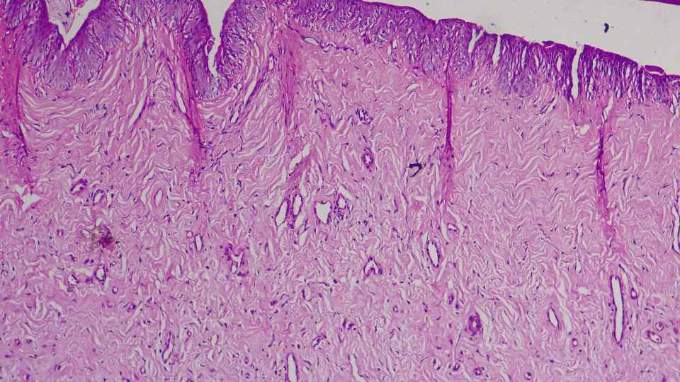
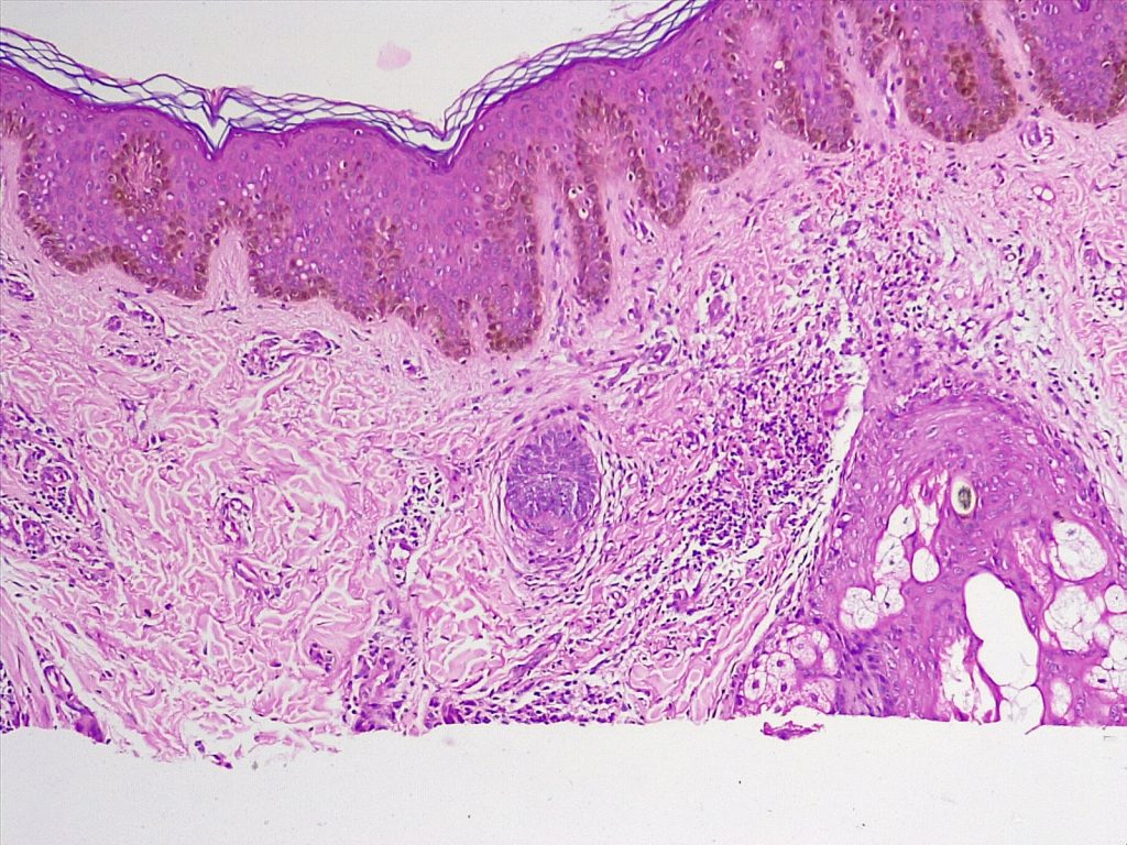
Skin biopsy for histopathological examination with Routine and special stains like
⦿ H & E
⦿ PAS stain
⦿ Alcian Blue stain
⦿ Fite Faraco
⦿ Modified ZN stain
⦿ Giemsa stain
⦿ Gomori-methanamine silver stain
⦿ Von Kossa stain
⦿ Ver Hoeff Van Gieson stain
⦿ Masson Trichome stain
⦿ Perl’s stain
⦿ Orcein stain
Skin biopsy for DIF studies, for diagnosis of vesiculo-bullous disorders, collagen vascular disease and vasculitis:
⦿ Immunostaining for IgG, IgM, IgA, C3, Fibrin
Indirect Immunofluorescence studies:
⦿ Salt split skin for subepidermal blistering diseases
⦿ Ab for Dsg 1 & Dsg 3 in Pemphigus
IHC studies for cutaneous Tumours, Lymphomas & Melanomas
Dermatocytology: Tzanck smear
⦿ For viral blisters
⦿ Slit skin smear for Leprosy & Leishmaniasis
⦿ More comprehensive analysis as both vertical and horizontal sections are analysed
⦿ Up to 18 levels of horizontal sections are studied, which ensures that even a small focus of histologic change is not missed
⦿ Helps to differentiate between various types of scarring and non-scarring alopecias
⦿ Maximises diagnostic yield from a single specimen
⦿ All pigmentary lesions and tumours, like lentigenes, benign nevus, common blue nevus, cellular blue nevus, dysplastic nevus, spitz nevus, congenital nevus etc.
⦿ Malignant melanoma diagnosis complete with TNM staging, and IHCs
⦿ All adnexal tumours (both benign and malignant)
⦿ All cysts (including epithelial, dermoid, eccrine/apocrine gland derived)
⦿ Pseudocysts/ Ulcers/ Discharging sinuses: with special stain to diagnose deep fungal/subcutaneous fungal infection/mycobacterial infections/ hydatid cyst/other parasitic cysts, etc.
⦿ Mucosal biopsy of oral mucosa, nasal mucosa, conjunctiva, nasopharynx, larynx, oesophagus.
⦿ Diagnosis by routine and special stains of all inflammatory mucosal lesions, premalignant and malignant lesions/tumours.
⦿ Diagnosis of Mucosal lymphomas with IHCs
⦿ Expertise in diagnosing all mucosal leukoplakia with histological classification
⦿ Expertise in diagnosing vesiculo-bullous disorders of oropharyngeal mucosa
⦿ Oral mucosal cancers (including tongue) with TNM staging
Registered Office
Wizderm Speciality Skin & Hair Clinic 1/503, Gariahat Road, Jodhpur Park, Kolkata, West Bengal 700068
Mon - Sat: 10 AM - 8 PM
© 2026 Wizderm Speciality Skin & Hair Clinic. All rights reserved.
Crafted with by Auraveni Solutions.
Stay updated with expert tips, latest treatments, and exclusive offers. Subscribe to Wizderm's newsletter for healthy, glowing skin and hair!